フリーダイヤル 0120-780-432

目黒区自由が丘2-9-11 八幸ビル3F

矯正歯科に関するお問合せ

平日: 9:00 - 20:00

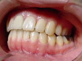
オープンバイト(開咬)の治療

前歯がまったく接触しない開咬のケース

Image

この患者さんはオープンバイト(開咬)といって、奥歯をかみ合わせたとき に、前歯がまったく接触しない状態をいいます。
すべての不正咬合の中で、最も顎関節症や歯を失うほど重度の歯周病になる確率の高い咬み合わせです。
また、奥歯がまっ平らになるほどすり減ってしまったり、原因不明の奥歯の痛みにより、虫歯ではない歯の神経を取られてしまうこともよくあります。この患者さんも、小臼歯を抜いて治療期間は2~3年と言われていました。

Image
Image

実際の矯正のステップ

Image

治療開始2ヵ月後にマルチループを装着しました

Image

マルチループ装着後から2ヶ月、だんだん前歯が閉じてきました

Image

上の写真から40日後、前歯が接触してくる様になりました

綺麗な歯並びが完成

Image
Image
Image

さらに4か月後、綺麗な歯並びが完成しました。

なぜ最後に4ヶ月もかかったのかというと、この患者さんは元々左上の小臼歯が1本ありませんでした。その足りない歯をそのままにするか、スペースを開けて1本補う(ブリッジ、インプラント等)ような形にするか、随分迷いましたが、結局相談した結果、経済的、時間的な理由でそのまま治療を進める事になりました。
左上が一本足りない状態で、歯の真ん中(正中)を合わせて、なおかつ機能的な咬み合わせを作るのにかなり時間がかかってしまったということです。

見た目だけではなく機能を正常に

Image
Image

上の写真は、歯を横にずらした時のものですが、糸切り歯のあたりが接触して、奥歯の方が離れているのが分かるでしょうか?

これは咬み合せの大事な一つの要素なのですが、このことによって顎関節に無理な力がかかるのを防いだり、奥歯の歯周病が進行しないようにする働きがあります。
見た目だけを綺麗にするなら半年で終了していたと思いますが、機能的な咬み合わせを作るにはけっこう時間がかかってしまいます。 とは言っても、治療開始から9か月ほどで終了していますので、矯正治療としては早いと思います。

開咬、その他の治療例

Image

乱ぐい歯、顎関節症

歯が重なりあって生えてしまう咬み合わせは、顎関節症や頭痛、肩こりの原因ともなります。

反対咬合

上の歯に下の歯が被さるような咬み合わせも顎関節症や頭痛の原因となります。

開咬(オープンバイト)

奥歯をかみ合わせたときに、前歯がまったく咬み合わない状態をこのように呼びます。

子どもの矯正

子どもの場合は、顔の骨格と、咬み合わせの高さのバランスが取れるように修正していくことが大切です。

どうやって抜かずに治すの?

マルチループワイヤーについて

私たちは、マルチループという特殊なワイヤーを使用します。
通常矯正治療に使われている既製品の直線ワイヤーとは違って、このマルチループ・ワイヤーは、1本1本の歯を3次元的に動かしていくことができます。
つまり、傾いた歯を起こしたり、伸びすぎた歯を中に押し込んだり、さまざまなことが同時にできるのです。

熟練を要するオーダーメイドの矯正ワイヤー

一般的に使用されている既製品のワイヤーは、大小2種類ぐらいしかないものに、歯の方を合わせていきます。
けれども、マルチループの場合はそれぞれの患者さんごとに、1本のワイヤーから形をオーダーメイドで作っていきますので、熟練を要し、全国でも非常に少数の歯科医しかこの技術を持っていません。

このワイヤーを使用することによって、抜かずにきれいで機能的、なおかつ顎関節にやさしい咬み合わせをつくることができます。

ちょっと派手な感じがしますが、お口の中に入れば普通のワイヤーより特別目立つということはありません。でも歯みがきは少し時間がかかります。

マルチループワイヤー作成の様子

 患者様の声

 東京都 A子さん
コンプレックスだった歯並びがキレイに。噛み合せも良くなりました

友人から言わせると「気にならない」という私の歯並びも自身にとっては全身で最大のコンプレックスでした。気を抜くと口が開いてしまい、片方の前歯が前に出ていて上下の前歯がかみ合わない「オープンバイト」という症状でした。ずっとコンプレックスを抱えているのが嫌で、やっと矯正を決心。

しかしどこの歯医者に行っても「歯のサイズが大きいので抜きましょう」という先生ばかりで悩み、あきらめかけていたところ金子歯科医院に出逢いました。

器具を付けて3~4ヶ月でみるみる歯並びが変わり感動しました。調整に行った直後はとても痛くやわらかいうどんを食べるのもつらかったですが、そこまで痛いのは調整後3日くらいまでです。ですので当初想像していたよりは耐えられる程度でした。慣れてくると、痛い=キレイになると思えるようになり、調整に行くのが楽しみでした。

コンプレックスである歯に器具をつけるなんて…と一番心配していた見た目ですが、やはり気になりますしマルチループはワイヤーが多いので多少目立つと思っていました。しかし、器具が取れたことにすぐ気付く友人は意外と少なく、「こんなに気にしていたのは自分だけ」だったとわかりました。
マルチループは器具こそ少し目立つかもしれませんが、おもいきり笑わないと見えませんので、歯を抜いた状態+器具を付ける方法よりはだいぶマシだと思います。

最後の最後まで「抜かないけど前歯をひっこめたい」という希望に合わせて少しずつ調整していただきました。その微調整もあったので私は1年7ヶ月かかりましたが、終わってみると本当にあっという間でした。心配性の私に、先生も助手の皆さんもとっても丁寧に良くしていただきました。心配になって電話をしてもいつでもきちんとご説明いただき頑張る力をもらっていました。

歯はキレイになったし、コンプレックスも無くなり、器具が取れた夜は涙が出ました。見た目だけでなく、噛み合わせが見事に合っていて大満足の結果となりました。

 東京都 B子さん
骨を切らずに治った受け口と開口。先生を信じて正解でした

私は受け口と開口で、昔から治したいな…と思い、何軒か歯医者さんに行ったのですが、骨を切ってネジ?でとめないと無理と言われ、なかなか勇気が出ませんでした。

でも、どこか骨を切らずに治せる歯医者さんはないかな??とネットをみていたら、金子歯科医院が治してくれるかも…と問い合わせ、みてもらいました。そうしたら、治せると言ってくださったのです。今まで何軒も「骨切らないと無理」と言われていたので、半信半疑でしたが、たとえ結果無理だとしても「大丈夫」と言ってくださったのが、こちらだけだったので、信じてやってみよう!!と思いました。

年齢も31だったし、やるなら早くやりたいな…と思い、割とあっさり決断したと思います。やってみたら、もちろん大変な事も多いですが、私の中では想定内だったので特に辛いことでびっくりする事は無かったです。

今は開口も治り、前歯で噛めるので食べ易いです。ハンバーガー等を食べる時は特に実感できます。普通の人達はこんなに食べ易かったんだなーと思います。何だかまとまりのない文で申し訳ありませんが…ずーっと迷い続けないで、矯正を始めてよかったと思っています。ありがとうございます。

 東京都 C子さん
矯正で顎の関節の痛みが治ったら、肩こり・頭痛も減ったんですよ

10代の終わり頃から口を大きく開けた時などに顎の関節がカクンカクンするな…と意識し始め、20代になってからは固いものを噛んだ時など顎の関節が痛むようになり、歯並びも治したい、と思いつつ時間だけが過ぎていきました。

30代になり他の矯正歯科で相談しましたが健常な歯を抜くこと、顎を切る手術も必要になるかもしれないこと、3~4年治療期間がかかるとの説明を受け、なかなか決断できずに諦めかけていた時、金子歯科を知り相談に伺い、診断をお願いしました。

自分の歯の状態が克明に理解できた上に、親知らず以外の歯を抜く必要はないこと、治療期間も1年半位との説明を頂き納得して治療を始めることができました。
いざ装置が入った時は想像以上の痛みでしたが数日で慣れ、度々痛むことがあっても、歯が動こうとしているんだ!と嬉しく思えました。
北関東から電車で1時間半かけての通院でしたが、3~4週に1度で月に1回程だったので無理なく通うことができました。

気がつけば現在いくら噛んでも顎の関節が痛むことは全くなくなりマッサージや整体通いせずにはいられなかった肩こりや頭痛もすっかり減りました。諦めずに矯正して本当に良かったと思います!!

矯正することを応援してくれた家族と治して下さった先生に心から感謝します。ありがとうございました!

 東京都 D子さん
以前気になっていた頭痛もなくなり、やってよかった

私は、反対交合で小学生の時から矯正を始めました。
けれども6年生の時に顎を切らないと治せないと言われて諦めました。4年程前にも別の歯医者に相談に行ったところ、舌を切らないと治らないと言われ諦めていました。
ところが金子歯科医院では、顎も舌も切らず、歯も抜かずに治せると伺い矯正を始めました。装置は痛みや見栄えで辛い時もありましたが慣れてしまい、あっという間の1年でした。

歯を治しただけですが、皆から痩せたとか顎がすっきりしたと言われ、以前気になっていた頭痛も無くなり、やってよかったと満足しております。

 東京都 E子さん
大人が矯正なんて・・・でもたった1年半で見違えるほどキレイな歯に

以前から八重歯が出ていて、自分でも歯並びが悪いと思っていて・・・。それがはずかしくてニッコリ笑うことができませんでした。

かかりつけの先生の紹介で金子歯科医院に通うことになりました。”大人が矯正?”って思いましたが、目立たない矯正でしかもたった一年半でみちがえる程歯並びがきれいになりました!!
びっくり&感謝です。

やろうかやめようか・・・迷っているうちに一年半なんてあっという間に過ぎてしまいます。あの時迷ってやめていたらきっと後悔していたことでしょう。
私は矯正をして本当によかったと思っています。

 東京都 F子さん
これが私の歯?!みんなが羨ましがる歯に

私が矯正を始めたのは、歯が1つだけズバ抜けて外に飛び出ていたのが気になっていた事と、歯並びが全体的に良くなかった事がきっかけでした。

私は約2年間近く矯正生活を過ごしてきましたが、その中でも1番辛かった事が物を噛みきる時の激痛でした。
馴染んでくれば大丈夫なのですが、始めは常に締めつけられる感があったので、毎日痛みとの戦いでした。
また食べ物(特に麺類)は歯と器具の間によくつまるので人目が気になったり、常に鏡でチェックしたりとストレスを感じる時もありました。
しかし痛みに耐えると同時に自分の歯がきれいになっていくのを実感し、終わった時は、「これが本当に自分の歯なのか!!」と思えるくらいきれいでとっても感動しました。

家族や友達、たくさんの人から「歯きれいでいいね」と羨ましがられ、今では自慢の歯になっています。

ここでの矯正は、見栄えだけでなく、噛み合せもしっかり考えて治療をしてくれるので安心です。痛みに耐えた分、感動が大きかったので矯正をして本当に良かったと心から思っています。

 東京都 G子さん
「小臼歯を抜かない矯正」で子供に笑顔が戻りました!

現在、中2女子の母親です。

初めて上の歯が出ている事に気付いたのが、小5の時でした。寝ていると口の間から、上の2本が、ニョキっとのぞいているのです。
私が、気になり出した頃から、娘の写真を見ると、笑い顔が消え、いつも口を固く結んで写っているのが多くなりました。

そして、夫婦で話し合い、一年かけて「小臼歯を抜かない矯正」を探し、インターネットで、金子先生にお世話になることになりました。
初診からすぐには始めず、時間をかけて診察、説明をして頂き、親も子も納得した上で始めたおかげで、2年間、何のトラブルも無く終了する事が出来ました。

(本当の終了は、親知らずを抜いてからですが…)言葉にするより、この写真を見て頂ければ一目瞭然!!ありがとうございました。

 東京都 H子さん
健康な歯は抜かない!しかも1年で美しい歯並びに

私が金子歯科医院を訪れたのは今から約1年前のことでした。

以前他の歯科医院で矯正を薦められたことがあったのですがすべて終了するまでに2~3年かかり健康な歯を4本抜くとのことでそれには抵抗があったのでその時は諦めました。
しかしその後、金子歯科医院で診断して頂いたところ、かかる期間は1年抜く歯も親知らずのみとのことでしたので痛みや矯正器具の見た目の不安はありましたが矯正をすることを決めました。

実際装着してみると、思っていたより目立たなく、痛みもほとんどありませんでした。治療が進んでいくにつれ多少の痛みはありましたが、日に日にキレイになっていく歯並びが嬉しくてそれほど気になりませんでした。矯正器具が外れたのも始めの診断通り1年で歯並びもとてもキレイになり歯みがきもとてもしやすくなりました。

金子歯科医院で矯正することを決めて本当によかったと思っています。 1年間ありがとうございました。

 東京都 I子さん
歯並びの矯正とかみ合わせも治りました

矯正をしようと思って歯医者さんを何軒か見てまわった時、どこでも診察の結果、「歯を4本抜歯しないと矯正できない」と言われていて、健康な歯を抜くのがイヤだった私は一度矯正をあきらめていました。

しかし、抜歯しないでも矯正できるというこちらの先生にカウンセリングに伺い、納得して矯正治療を始めました。

矯正を始めてからは、どんどん歯列が変化していくのがわかり、とても楽しかったです。ワイヤーが複雑なので食後の歯磨きは大変でしたが、きちんと歯磨きするのが習慣になり、かえって良かったと思います。ワイヤーをつけている見た目のことは慣れると全く気にしなくなりましたし、矯正で歯が動く痛みは、日が経つとおさまるので食事も楽しめます。

ワイヤーがとれた今では、歯並びが悪かった頃よりもずっと歯磨きがしやすいため、歯茎の方の状態も健康になりました。そして、本当に抜歯しないでもキレイに歯が並びました!

また、ただ歯並びを整えるだけでなく、かみ合わせも正しく治すことを考慮した治療であるため、顔のりんかくが以前よりだいぶすっきりしました。これは思いがけない嬉しいことでした。
歯並びが変化していくのがわかるので、治療に通うのが楽しく、あっという間でした。考えていた以上の良い結果で、本当に矯正治療をはじめて良かったと思います。

 東京都 J子さん
噛み合わせが悪かったのですが、1年半で完璧な噛み合わせに

私の場合、歯並びは気にならなかったのですが、噛み合わせが悪く、長い間気になっていました。でも見た目の歯並びが悪いわけではなかったため、なかなか決断できずにいました。
それでも何年経っても気になる気持ちは変わらないので、矯正する決意を固めて他の医院に行ったところ、健康な歯を2本抜いて最低2~3年かかると言われ、ネットで検索して金子歯科にたどり着きました。一度抜いてしまったら、その後どんなにお金を積んでも自分の歯は取り戻せません。どうしても歯を抜くことに抵抗があった私は、歯を抜かずに、しかも1年でできるという金子歯科に通うことにしたのです。

オープンバイト(開咬)という症状だった私は通常の装置から途中でマルチループという大きな装置に変わりました。
通常の装置でも、マルチループでも、最初に装着した時と、ワイヤーを変えたり新たな力を加えたりした時は、慣れるまでの1週間くらいは痛くて白いご飯を食べるのも辛かったのですが、慣れてからは普通に食事ができるようになりました。
ただ装置に食べ物が詰まるので食事中は口を開けて笑うことができず、また普通にしていても見た目にマルチループが目立つため、矯正期間中はストレスが溜まりました。

でも、1年が経過する頃には見違えるような変化があり、前歯でしっかりと食物が噛めるようになり、嬉しくなりました。

結局、装置が外れるまでに1年半がかかりましたが、痛みと見た目のストレスに耐えた分、完璧な噛み合わせと歯並びを手に入れることができて、矯正をして良かったと思います。

「歯を抜いて治療するのが当然」という他の医院の言うことを信じず、自分で調べて抜かない矯正にして大正解でした。

お気軽にご相談ください

「相談したい」と思ったら、お気軽にお電話ください。矯正に限らず咬み合わせ、顎関節症、インプラントなど、どんな相談でも結構です。

平日 AM9:00~PM8:00

歯を抜かない矯正治療 自由が丘 金子歯科医院

このページの先頭へ